October 30, 2025
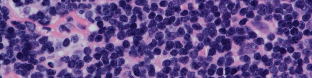
When lymphoid cancers return after treatment, they often become more aggressive and harder to treat. Until recently, doctors had few tools to predict relapse or guide care. That’s changing, thanks to work led by Drs. Christian Steidl, Marco Marra and David Scott at BC Cancer.
By sequencing relapsed tumours and analyzing their genomic evolution, the team has uncovered new biomarkers that differentiate aggressive subtypes and predict treatment response. These discoveries have already been translated into new clinical diagnostic assays, now implemented as standard of care in Vancouver and Toronto.
One of those assays, called LExA, helps pathologists classify lymphomas with greater accuracy, while decision support tools designed for physicians and patients are enhancing shared treatment planning. Health economists on the team have also demonstrated that these genomics-based tests provide better value for the healthcare system.
The team is also helping to explain why some lymphomas don’t respond to treatment, including advanced options like CAR-T therapy. By studying how tumours change over time, they’ve identified patterns in the cancer’s DNA that can signal when a treatment might fail — knowledge that could guide the development of better therapies.
The project’s findings were significant enough to help reshape the World Health Organization’s classification of lymphomas, establishing a new global standard.
This progress builds on more than a decade of Genome BC investment in lymphoma research, including early funding for whole-genome sequencing, digital pathology and the BioLym biobank — critical assets that have established BC as a global leader in this field.

This article appears in Genome BC’s 2024/25 Annual Report. View the whole report here.
